Contáctanos
Inicio
Productos
CBCT Inteligente - Smart3D-X
CBCT Dental Profesional - HiRes3D
CBCT ENT de Doble Fuente - Ultra3D
Software de Radiología Dental - SmartVPro
Software de Análisis Cefalométrico - CephPro3D
Software CBCT ENT Profesional - SmartV-ENT
Escáner Intraoral - Serie FusionScanner SU
Captura de Datos Faciales - FusionFaceScanner
Alineadores Invisibles - FusionAlign
Gestión de Datos - FusionOne
Estudio de Alineadores Invisibles - FusionDesigner
Academia de Imágenes
EMPRESA
Sobre LargeV
Noticias
Videos
Experiencia del Cliente
Descargas
Contáctanos
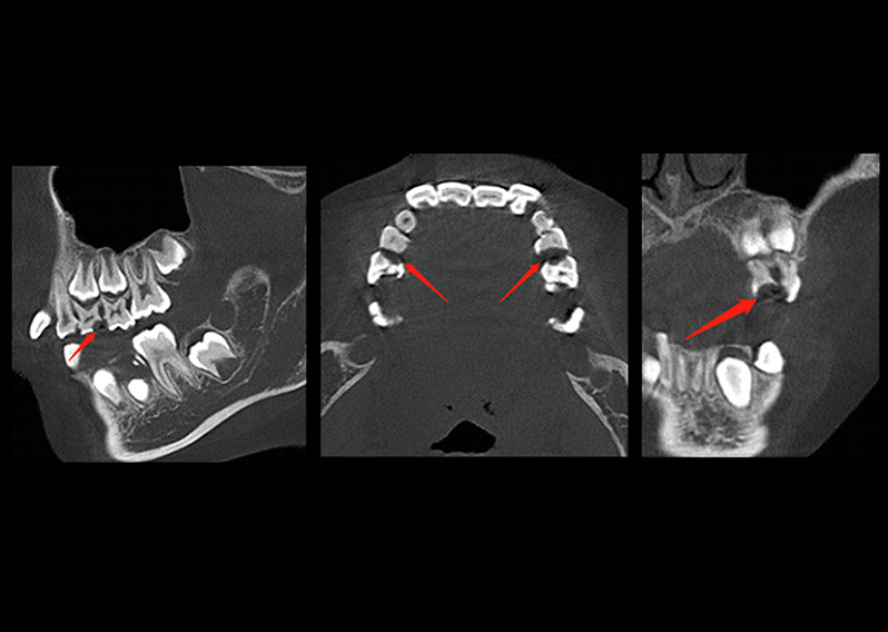
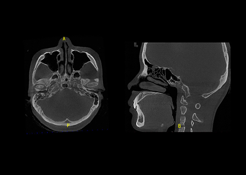
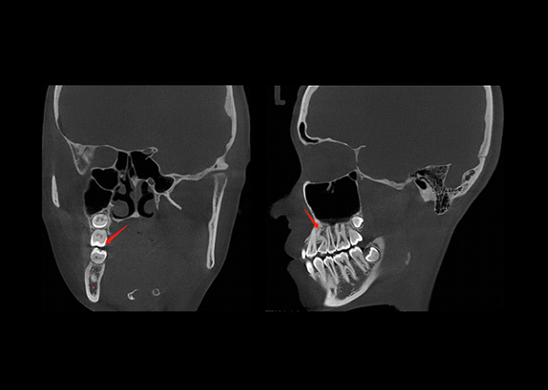
CT
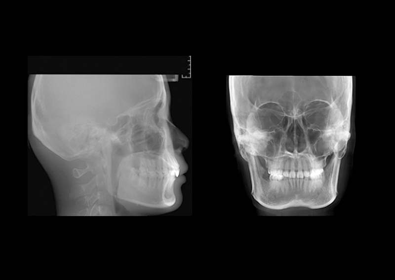
PAN
CEPH