• Video Corporativo
  • Funciones de Software
img

HiRes3D

img

Ultra3D

img

LargeV

img

Smart3D-X

img

CephPro3D Métodos de Análisis de Medición Personalizados

img

Relación Raíz-Hueso IA

img

AI Bone Graft Volume Estimation

img

AI TMJ Analysis

img

AI Maxillary Bone Segmentation

img

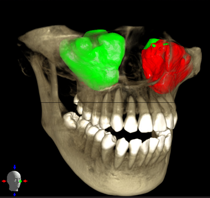
AI Maxillary Sinus Analysis

img

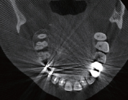
AI Oral Implant

img

AI Tooth Perspectives

img

AI Automatic Head Position Correction

img

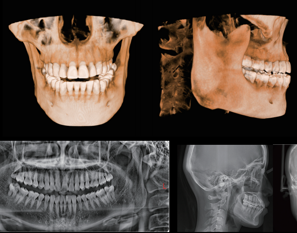
Multiple Images

img

AI PAN

img

Software Exports Data Fast

img

Software Checks Imafges Fast

img

Small FOV Achieves More

img

Root Canal Labeling

img

Lingual Vascular Canal Labeling

img

CephPro3D Display VTO Visual Simulation

img

Al Measures Half Cephalometric Images

img

Al Displays Simulated Tooth Extraction

img

AI TMJ Automatic Positioning Diagnosis

img

AI Teeth Segmentation

img

AI Software Quickly Opens Panoramic Function

img

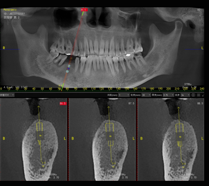
AI Simulated Implanting

img

AI Segments The Mandible

img

AI Mrasures The Bonedensity

img

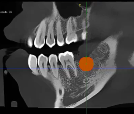
AI Makes Neural Tube Accessment Conveniently

img

AI Makes Automatic Maxillary Sinus Analysis

img

AI Inserts Multiple Implants With One Click

img

AI Effectively Removes Metal Artifacts

img

AI Calculates Bone Age Automatically

img

AI Airway Measurement

img

Software Applies CEPH Measurment Methods

LargeV Instrument Corp., Ltd. fue fundada en 2011 y se dedica al desarrollo e industrialización de dispositivos médicos de alta gama. El equipo central de LargeV proviene de la Universidad de Tsinghua y tiene una base sólida en los campos técnicos de tomografía computarizada, protección radiológica y procesamiento de imágenes. Insistimos en una filosofía empresarial centrada en el cliente y nos enfocamos en la innovación y la excelencia.

MORE
Chat on WhatsApp